3D томограф Meyer
- Большая область сканирования для возможности увидеть полную клиническую картину и заметить все интерующие детали.
- Важное преимущество, которое легко повысит эффективность диагностики и лечения
Особенности продукта
Панорамные
Сверхчеткое отображение всей зубной дуги и структуры челюстной кости.
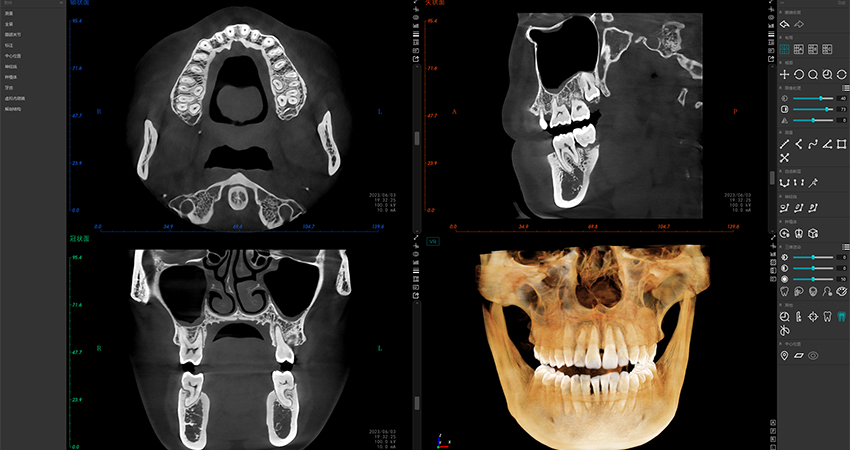
CBCT
Наглядное отображение анатомической 3D-структуры черепно-лицевой области человека.
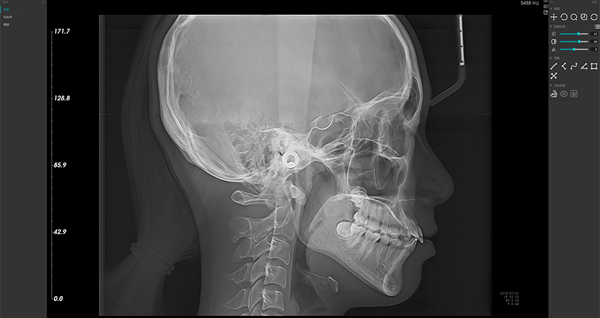
Фронтальные/латеральные
Легкое получение стандартных/латеральных изображений черепа в градациях серого с высоким разрешением.
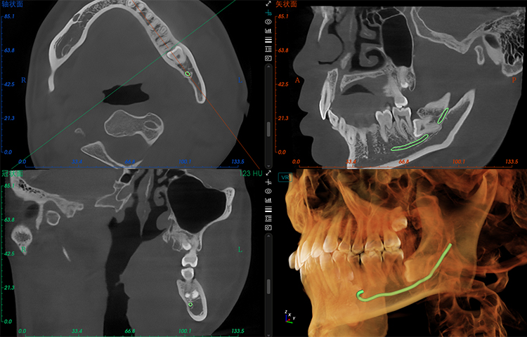
Локальная CТ
Сконфигурирована высокоскоростная томография деталей с высоким разрешением 80 мкм.
Алгоритм формирования изображения
Технология PD (Pure-Detail)
Технология PD (Pure-Detail) способна интеллектуально настраивать различные параметры за счет способности к самоадаптации и основываться на большом количестве эффектов съемки в качестве проверки, благодаря чему изображение приобретает эффект «естественной текстуры», что эффективно решает проблему маскировки мелких повреждений за счет эффекта шумоподавления и более четко восстанавливает детали костной ткани и структуры мягких тканей.
Общая функция
Ведущее программное обеспечение для 3D-диагностики и интеллектуальная система ортодонтического анализа Meyer использует модульный дизайн пользовательского интерфейса, а функции программного обеспечения приближены к клинической диагностике и лечению, что в большей степени соответствует привычкам китайских врачей и снижает затраты на обучение.
Диагностическое программное обеспечение Meyer 3D (MyDent Viewer 3D)
Предоставляет множество удобных инструментов клинической диагностики.Включает в себя 7 модулей, таких как многоплоскостная реконструкция, трехмерный панорамный обзор, реконструкция изогнутой поверхности, виртуальная имплантация, ВНЧС, трехмерная ортодонтия и виртуальная эндоскопия, что значительно повышает эффективность диагностики врачей.
Скриншоты снимков










Видео презентация
Технические характеристики
| Тип исследования | КТ, частичный КТ, Панорама, Ceph*, ВНЧС, Детский режим, , Скан слепков и моделей |
| Область сканирования | 12*10 3.4*3.4 |
| Размер вокселя μm | ≥70-420 |
| Тип сенсора КТ | Hamamatsu |
| Тип сенсора Ceph | CMOS Сканирующего типа |
| Градация серого | 16-bit (65536 уровней серого) |
| Модель излучателя | D-054SB (Toshiba/Canon) |
| Фокальное пятно | 0.5 * 0.5 mm |
| Общая фильтрация | 5.7 mmAL (КT), 2.7 mmAL (другие) |
| Напряжение трубки | 60 ~ 90 kV (импульсный) |
| Анодный ток | 2 ~ 10 mA |
| Время экспозиции | КT: 20 сек (8.7 сек) / Пано: 17 сек / Эндо: 12 сек / Ceph: 12 сек |
| Тип экспозиции | вращение 360° Hybrid pulsed X-ray technology |
| Управление | Сенсорная панель, с рабочей станции |
| Позиционирование | Стоя/Сидя, подбородочный упор, прикусной блок, ушные позиционеры, лобный упор |
| Фокусное расстояние | 250 mm |
| Время реконструкции | менее 60 сек |
| Вес (без/ с Ceph) | 220 кг |
| Размеры (без/ с Ceph), мм | 1065(Ш)х1415(Г)х2485(В) |





