Meyer Мобильная томография головы
- Свободно перемещается, легко справляется с многосюжетным использованием;
- Улучшенная производительность, 32 ряда низколучевых, быстрых изображений в небольшом объеме.
Использование продукта
Meyer Мобильная томография головы – это передвижная компьютерная томографическая система, используемая для визуализации у постели больного. Она подходит для сканирования черепа, полости рта, ЛОР-органов и конечностей в соответствии с клиническими потребностями и адаптируется к различным условиям работы. Ее можно использовать в отделениях неотложной помощи, неврологии, нейрохирургии, отоларингологии и других отделениях для оказания поддержки пациентам. перемещение сцен медицинского визуализационного обследования вперед снижает риск появления тяжелобольных пациентов по пути в отделение визуализации и может уменьшить риск вторичных травм, которые могут быть причинены пациентам в критическом состоянии во время традиционных визуализационных обследований.
Особенности продукта
Свобода передвижения
Гибкие сценарии использования: нейрохирургическая реанимация (NICU), операционная, отделение неотложной помощи, отделение визуализации, мобильное инсультное отделение;
Удобное управление: оснащен электрической системой питания, гибкое управление скоростью движения и углом поворота; встроенный свинцовый аккумулятор, дальность действия 15 км, бесстрашное передвижение на большие расстояния;
Интеграция «все в одном»: встроенный сенсорный экран большого размера, нет необходимости во внешнем компьютере, хост может завершить управление съемкой, реконструкцию изображения, просмотр изображения и операции обработки.
Улучшенная производительность
Высокая производительность: ламповая трубка с высокой теплоемкостью 180 кдж для непрерывной и стабильной съемки; 32-рядный детектор для 32-рядной быстрой визуализации в небольшом объеме;
Режимы съемки: поддержка позиционирования изображения, осевая развертка, спиральная развертка, CTA (нетравматическая технология визуализации сосудов), CTP (КТ-направленное перфузионное сканирование);
Алгоритм формирования изображения: благодаря применению алгоритма подавления артефактов конусного угла, изображение краевого слоя 32-рядного детектора остается превосходным, а изображение 19,2 мм может быть восстановлено за одно сканирование; усовершенствованный итерационный алгоритм шумоподавления подавляет шум изображения в условиях низкодозового сканирования без потери деталей изображения; уникальный алгоритм повышения низкой контрастности позволяет достичь высокой контрастности изображений при низкой дозе облучения.
Безопасность в использовании
Идеальная защита от радиации: встроенная свинцовая защита, заднее свинцовое стекло, дополнительная свинцовая шторка;
Поддерживается режим дистанционного облучения, что устраняет опасения по поводу радиации;
При стандартном режиме сканирования головы количество радиации, получаемой пациентом, составляет всего 0,88 мЗв, что значительно ниже среднего показателя по отрасли.
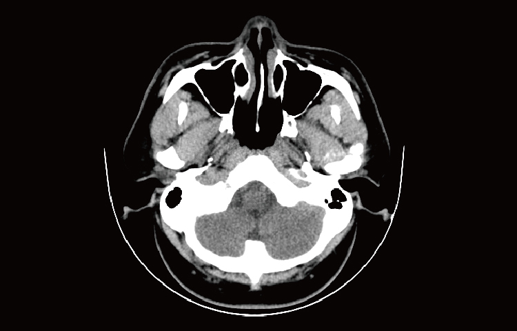
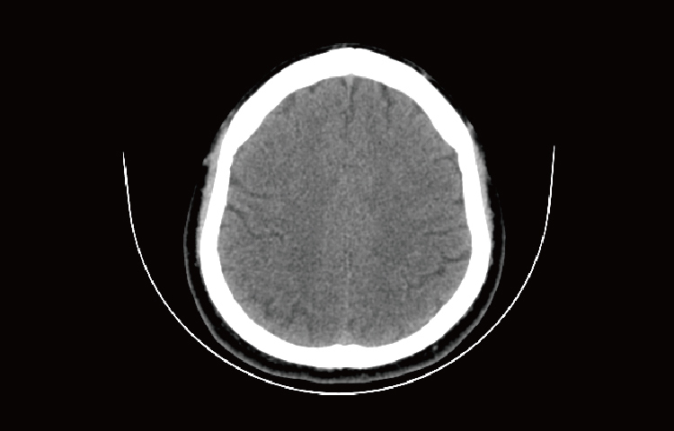
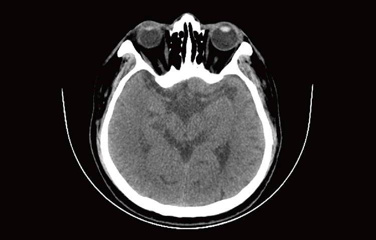
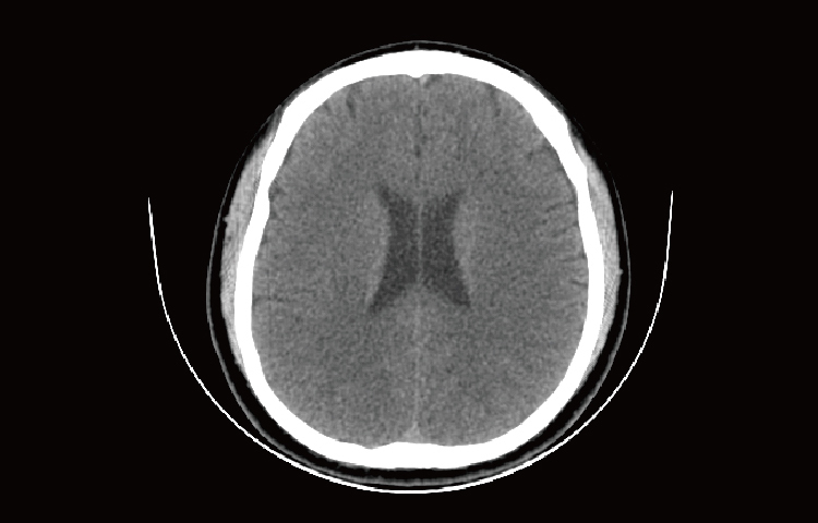
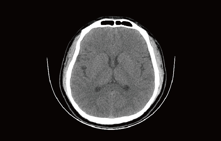
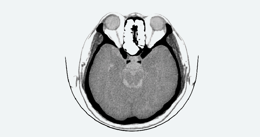
Скриншоты снимков







